Usługa:
All on 6
All on 6
Protetyka:
dr Paulina Kisiel - Dental Fraternity Powsin, DF LAB.
dr Paulina Kisiel - Dental Fraternity Powsin, DF LAB.
Rok:
2025
2025






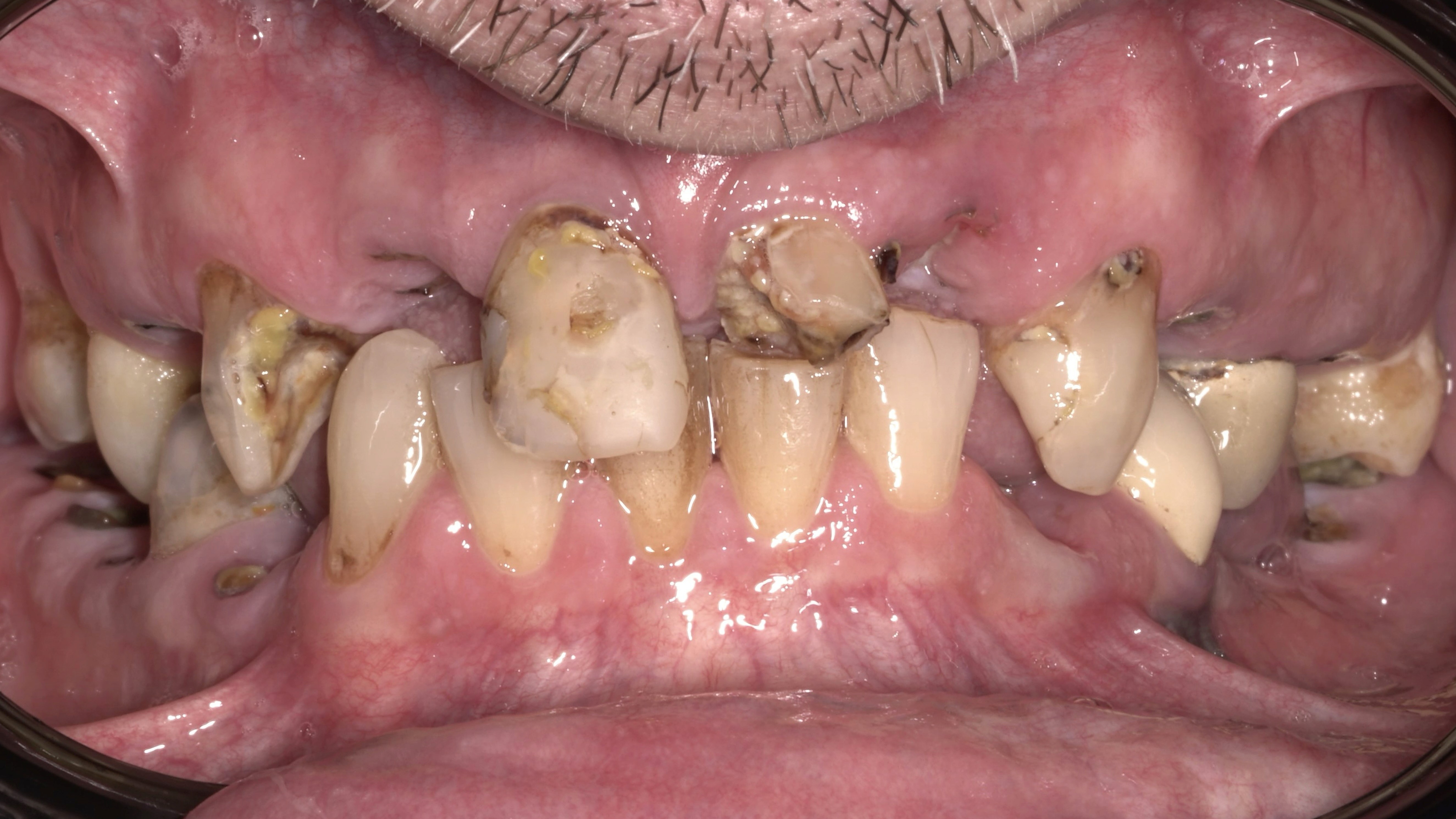
Pacjent zgłosił się z uzębieniem resztkowym, bólem i dużym dyskomfortem w codziennym funkcjonowaniu. Zależało mu na stałym rozwiązaniu — bez protezy ruchomej.
W jednym dniu wykonano kompleksowe leczenie chirurgiczno-protetyczne: ekstrakcje, plastykę kości, implantację oraz osadzenie mostu tymczasowego w szczęce. Następnie po 1 miesiącu wykonano tę samą procedurę w obrębie żuchwy. Po kolejnych 6 miesiącach przeprowadzono zamieniono mosty tymczasowe na bardziej estetyczne i wytrzymałe mosty ostateczne.
Efekty leczenia:
✔ estetyczny uśmiech
✔ swoboda mówienia i jedzenia
✔ realna poprawa jakości życia
✔ odzyskanie pewności siebie
Pacjent zgłosił się z uzębieniem resztkowym, bólem i dużym dyskomfortem w codziennym funkcjonowaniu. Zależało mu na stałym rozwiązaniu — bez protezy ruchomej.
W jednym dniu wykonano kompleksowe leczenie chirurgiczno-protetyczne: ekstrakcje, plastykę kości, implantację oraz osadzenie mostu tymczasowego w szczęce. Następnie po 1 miesiącu wykonano tę samą procedurę w obrębie żuchwy. Po kolejnych 6 miesiącach przeprowadzono zamieniono mosty tymczasowe na bardziej estetyczne i wytrzymałe mosty ostateczne.
Efekty leczenia:
✔ estetyczny uśmiech
✔ swoboda mówienia i jedzenia
✔ realna poprawa jakości życia
✔ odzyskanie pewności siebie








